Arte e Ciência na Prática da Medicina – Olhar Humanístico na ProfissãoArte e Ciência na Prática da Medicina – Olhar Humanístico na Profissão

Arte e Ciência na Prática da Medicina – Olhar Humanístico na Profissão

Na primeira semana de aula eu tive o prazer de visitar o Museu da Faculdade de Medicina da Usp, estava… Lêr mais...

Bianca
Visita ao Centro Cirúrgico HC – Diário de uma Estudante de MedicinaVisita ao Centro Cirúrgico HC – Diário de uma Estudante de Medicina

Visita ao Centro Cirúrgico HC – Diário de uma Estudante de Medicina

## Por Diário de uma estudante de Medicina ... Na terça passada, eu fiz minha primeira visita a um centro cirúrgico,… Lêr mais...

Bianca
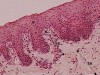
Tecido Conjuntivo Matriz Extracelular – Componentes, Colágeno e FibrasTecido Conjuntivo Matriz Extracelular – Componentes, Colágeno e Fibras

Tecido Conjuntivo Matriz Extracelular – Componentes, Colágeno e Fibras

Hoje vou comentar um pouco sobre o tecido conjuntivo que forma a Matriz Extracelular, explicando alguns de seus componentes e… Lêr mais...

Bianca
Endereçamento de Proteínas – Transporte, Secreção de Vesículas CélulaEndereçamento de Proteínas – Transporte, Secreção de Vesículas Célula

Endereçamento de Proteínas – Transporte, Secreção de Vesículas Célula

A síntese de proteínas é uma das atividades celulares mais fundamentais para a vida dos organismos, mas você já se perguntou como ocorre o processo em nível celular? E… Lêr mais...

Bianca
Calouros Medicina Usp – Como é o Trote, Semana de Recepção PinheirosCalouros Medicina Usp – Como é o Trote, Semana de Recepção Pinheiros

Calouros Medicina Usp – Como é o Trote, Semana de Recepção Pinheiros

Tem curiosidade sobre Como é a Semana de Recepção dos Calouros de Medicina Usp?  Saiba como é o Trote da… Lêr mais...

Bianca
Sinalização Celular – Tipos de Ligantes e Receptores, Transdução SinalSinalização Celular – Tipos de Ligantes e Receptores, Transdução Sinal

Sinalização Celular – Tipos de Ligantes e Receptores, Transdução Sinal

Um dos principais mecanismos que garantem o funcionamento integrado nos organismo pluricelulares é o da Sinalização Celular. As células se comunicam, mandando sinais elétricos ou químicos, os quais… Lêr mais...

Bianca
Medicina UFC Federal do Ceará – Curso, Grade Curricular, VestibularMedicina UFC Federal do Ceará – Curso, Grade Curricular, Vestibular

Medicina UFC Federal do Ceará – Curso, Grade Curricular, Vestibular

Para estudantes da região nordeste, e também interessados de outras regiões do pais, hoje venho falando um pouco sobre a Universidade Federal do Ceará. Trata-se de… Lêr mais...

Bianca
Medicina UFES Espirito Santo – Curso, Grade Curricular, VestibularMedicina UFES Espirito Santo – Curso, Grade Curricular, Vestibular

Medicina UFES Espirito Santo – Curso, Grade Curricular, Vestibular

O curso de Medicina é um dos mais concorridos e caros cursos do ensino superior, para ter acesso a um ensino… Lêr mais...

Bianca
MedEnsina – Cursinho Gratuito da Faculdade de Medicina USP, InformaçõesMedEnsina – Cursinho Gratuito da Faculdade de Medicina USP, Informações

MedEnsina – Cursinho Gratuito da Faculdade de Medicina USP, Informações

Se você quer se preparar para o Vestibular, estudando num bom curso Pré vestibular, mas não tem tantos recursos, a… Lêr mais...

Bianca
Mad Alegria – Grupo de Palhaços e Contadores de Historias, Alunos UspMad Alegria – Grupo de Palhaços e Contadores de Historias, Alunos Usp

Mad Alegria – Grupo de Palhaços e Contadores de Historias, Alunos Usp

A Humanização da Medicina é um dos fatores que vem motivando milhares de estudantes e profissionais da saúde, são pessoas que querem fazer mudança no mundo, começando com um… Lêr mais...

Bianca
On